余政展主任向病人說明治療情形。(台中慈濟醫院提供/陳淑娥台中傳真)
余政展主任向病人說明治療情形。(台中慈濟醫院提供/陳淑娥台中傳真)
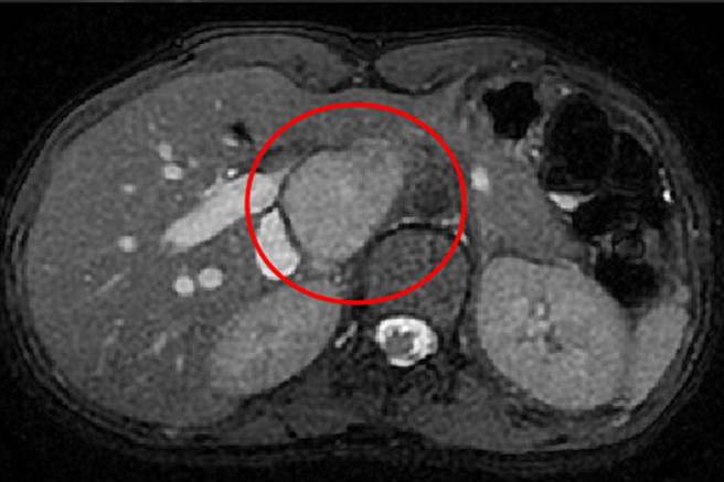
病人肝臟核磁共振檢查影像,圈起來的位置是腫瘤。(台中慈濟醫院提供/陳淑娥台中傳真)
病人肝臟核磁共振檢查影像,圈起來的位置是腫瘤。(台中慈濟醫院提供/陳淑娥台中傳真)

25歲劉姓女子多年頭昏、心悸與盜汗,因膀胱炎反覆感染就醫,意外發現腹腔有腫瘤,由於手術困難度相當高,台中慈濟醫院外科部主任余政展與醫療團隊小心拆彈,術後腫瘤確認是每百萬人口僅2至8例的「副神經節瘤」。

劉女主述多年頭昏、心悸與盜汗,始終原因不明,因膀胱炎就醫經腹部電腦斷層檢查,意外發現肝臟旁邊長了一顆超過6公分腫瘤,醫師說必須及早開刀解除隨時爆炸危機,但手術難度太高,無法處理,她到台中慈濟醫院尋求第二意見。

余政展從肝臟核磁共振檢查影像確認,腫瘤位於肝臟後面、脊椎旁邊,已大到擠開腹腔多條大血管,唯一解決方式是切除病灶。但腫瘤被肝臟、胰臟與腎臟血管主動脈,還有下腔大靜脈等大血管緊緊包圍,須小心沿著大血管手術,稍一閃神幾千毫升大失血,而病人的病理報告顯示罹患「神經內分泌瘤」。

余政展指出,「副神經節瘤」是神經內分泌瘤的一種,從發生率看實屬罕見,神經內分泌瘤是從特化神經內分泌細胞長出來,同時具有神經與內分泌特徵,無時無刻都在分泌壓力賀爾蒙,作用就像強心劑,讓病人出現無法控制的高血壓、陣發性頭痛、出汗和心搏過速等症狀。

余政展與麻醉科、泌尿科、心臟外科醫師召開術前跨科討論,因應腫瘤特性決定先讓病人服用預防性降壓藥,避免血壓忽高忽低作亂,並推演手術過程可能發生的各種情況與因應做法再開刀,他形容是「抱著拆炸彈的心情」,小心翼翼才順利切除腫瘤病灶。

#神經 #腫瘤 #內分泌 #余政展 #肝臟