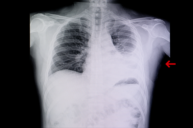
大陸疫情升溫,近日傳出有許多人出現「白肺」症狀,恐怖的名稱讓不少民眾聽了很害怕,胸腔重症科醫師蘇一峰表示,所謂的白肺,正確名稱應該是肺炎重症或急性呼吸窘迫症,全世界的加護病房裡面都會有,他自己手頭上也有幾個白肺患者,因此這並不是大陸才有的疾病。
蘇一峰昨在臉書上分享,傳大陸因為疫情出現了「白肺」,讓許多人聽了很恐慌,但其實所謂的白肺,正確名稱應該是「肺炎重症」或「急性呼吸窘迫症」。而這個狀況全世界的每家醫院裡面都會有,並不是只有大陸才有。
蘇一峰表示,他自己手頭上目前也有「白肺」患者,應該說,每家醫院的加護病房裡面應該都會有一大堆白肺的患者喔!而他應該也可以算是台灣的白肺專家了。
貼文引起網友討論,不少人坦言,當初聽到「白肺」的時候,真的覺得很恐怖也很害怕,後來看了醫師解釋才知道,這不是新的疾病才鬆了一口氣,很討厭有些人應要拿一些陌生的病症名稱亂嚇人。
發表意見
中時新聞網對留言系統使用者發布的文字、圖片或檔案保有片面修改或移除的權利。當使用者使用本網站留言服務時,表示已詳細閱讀並完全了解,且同意配合下述規定:
違反上述規定者,中時新聞網有權刪除留言,或者直接封鎖帳號!請使用者在發言前,務必先閱讀留言板規則,謝謝配合。